
产品描述
逸漠生物生产的改良油红O染色试剂盒(Modified Oil Red O Staining Kit),也称改良脂肪染色试剂盒(Modified Lipid Staining Kit),是一种通过油红O染料特异性地使培养的脂肪细胞中的脂滴或组织内的甘油三脂等中性脂质染成红色或橙红色的试剂盒。本试剂盒中的油红O染色液为即用型,适用于细胞、组织冰冻切片、骨髓涂片或血涂片等样品,但不适合用于石蜡切片样品。
产品信息
脂类(Lipids),亦称脂质,是一类疏水性化合物,它们在水中不溶解,但可溶于乙醇、乙醚、氯仿、苯等非极性有机溶剂。在人体营养中,脂类扮演着关键角色,其主要生理功能包括能量储存与供给、必需脂肪酸的提供、细胞膜等膜性细胞结构的构成,以及参与细胞信号传导等。脂类是由脂肪酸与醇通过酯化反应形成的酯类及其衍生物,动物体内主要包括脂肪(Fats)、磷脂(Phospholipids)和类固醇(Steroids)等。
脂肪,即甘油三酯(Triglyceride, TG),是由脂肪酸的羧基(-COOH)与甘油的羟基(-OH)发生酯化反应脱去水分子(-H2O)而形成,呈电中性,因此也被称作中性脂肪(Neutral Fat)。人体内脂肪的含量约占体重的10%至20%,主要分布在皮下组织和内脏周围,其主要生理功能是能量储存和供给,同时在重要器官周围提供机械保护,并减少外界温度对身体的影响。
油红O(Oil Red O, ORO)是一种脂溶性偶氮染料,具有强烈的脂溶性,是一种特异性的脂质染色剂,能够特异性地染色细胞或组织中的甘油三酯等中性脂质,而对磷脂和类固醇的染色效果较弱。当细胞或组织切片浸入油红O染色液时,油红O溶解于细胞或组织内的脂质中,使其呈现红色或橙红色。由于油红O具有较好的观察性和鲜明的染色效果,目前已广泛替代了苏丹III、苏丹IV等其他脂质染色方法。
油红O在病理状态下组织脂肪检测中的应用包括:
a. 在正常生理状态下,除脂肪细胞外,其他细胞内脂滴含量较低或几乎不可见。在病理或特定生理状态下,这些细胞中脂滴的出现或增多,尤其是在肝脏、心脏、肾脏等实质器官发生脂肪变性时,胞浆内出现大小不一的空泡样结构,此时需用油红O染色来鉴定这些空泡样结构是否为脂滴积累所致的脂肪变性;
b. 在动脉粥样硬化的检测中,油红O可用于显示内皮细胞下的脂质沉积;
c. 在脂肪栓塞的检测中,油红O可用于显示脂肪栓塞栓子内的脂质;
d. 在肿瘤组织的鉴别诊断中,由脂肪组织发生的肿瘤与其他组织来源的肿瘤区分时,可以借助油红O染色鉴定肿瘤是否源自脂肪组织,脂肪组织的油红O染色呈阳性反应。
储存条件
室温避光存储,有效期1年。
使用说明
组织切片染色:
1.组织切片制备:将组织样本制备成6至15微米(μm)厚度的冰冻切片,可选择不进行固定,或者使用10%福尔马林或4%多聚甲醛进行10分钟的固定处理。
2.洗涤:使用蒸馏水或磷酸盐缓冲液(PBS)对切片进行三次冲洗,以去除残留的固定液。
3.脱水处理:将切片浸入100%异丙醇中5分钟,以脱水并防止切片上残留的水分或PBS干扰后续的改良油红O染色。
4.染色:使用改良油红O染色液对切片进行染色,可选择在60°C下密闭环境中染色8分钟,或在室温下染色10至20分钟。
5.染色后处理:去除染色液后,使用85%异丙醇进行5分钟的浸洗,随后用蒸馏水冲洗切片三次,以去除多余的染色液。
6.核复染:将切片浸入苏木素染色液中,进行核的复染处理,染色时间为30秒。
7.分化(可选步骤):使用1%盐酸溶液对切片进行轻微分化,以增强染色对比度。
8.最终冲洗:在流水下冲洗切片3分钟,然后用蒸馏水冲洗两次,以去除残留的分化液。
9.封片:使用滤纸吸干切片周围的水分后,使用甘油明胶进行封片处理,以便进行显微镜观察。
细胞诱导染色:
1.诱导细胞样品处理:缓慢吸去细胞培养液,PBS洗涤1次。
注:对于贴壁不太好的细胞,加入任何溶液时,不宜直接将溶液加到细胞上,而应沿着孔板壁缓慢加入,然后轻轻混匀,这样可以避免将在加入溶液时使细胞漂浮起来。
2.细胞固定:加入4%多聚甲醛固定液或10%甲醛溶液固定10分钟,PBS漂洗2次。
3.油红O染色:加入适量染色洗涤液覆盖细胞20秒。小心吸除染色洗涤液,加入适量油红O染色工作液,染色10-20分钟。去除油红O染色工作液,加入适量染色洗涤液,静置30秒,然后去除染色洗涤液,用PBS洗涤20秒。加入适量PBS,均匀覆盖细胞即可,显微镜下观察和拍照。
注:所有操作轻柔;染液体积均匀覆盖细胞即可,以6孔板为例,可加入1ml染色工作液;可适当延长染色时间,但不要超过1小时。
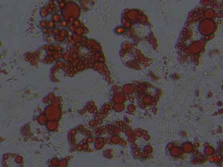
用于培养的诱导分化成的脂肪细胞的染色效果如下:

图1.改良油红O染色试剂盒用于小鼠脂肪干细胞诱导分化而成的脂肪细胞的染色效果图
如图所示,经油红O染色后可见非常清晰和鲜明的细胞中脂滴着色。实际染色效果会因样品、检测条件的不同而存在差异,本图仅供参考。
注意事项
1.改良油红O染色液溶解度受温度影响,在低温下可能会有所析出,不影响使用效果,也可以60℃左右水浴加热促溶。
2.样品固定时请使用4%多聚甲醛固定液或10%甲醛溶液,不可用醇类或丙酮等可以溶解脂肪的固定液。
3.油红O染色时,应避免染色液挥发,否则染色液可能会形成沉淀而产生背景。
4.用于油红O染色的冰冻切片要适当厚一些,一般为10-15µm,切片太薄容易导致脂肪流失。
5.油红O染色结果不能长期保存,染色完毕后应尽快观察拍照。
6.本产品仅限于专业人员的科学研究用,不得用于临床诊断或治疗,不得用于食品或药品,不得存放于普通住宅内。
7.为了您的安全和健康,请穿实验服并戴一次性手套操作。
















