3T3-L1 (小鼠胚胎成纤维细胞) 细胞成脂分化试剂盒使用说明下载
产品介绍
由IMMOCELL研发团队精心研制的3T3-L1 (小鼠胚胎成纤维细胞) 成脂诱导分化试剂盒,包含适合3T3-L1 小鼠胚胎成纤维细胞生长的基础培养基、优级胎牛血清及诱导细胞分化所需的添加物。
本产品适用于3T3-L1小鼠胚胎成纤维细胞的成脂诱导分化。大量细胞培养数据验证,本产品可稳定、高效诱导上述细胞分化为成脂细胞。
注意:本产品仅提供给进一步科研使用,不可用于临床治疗等其他用途。
| 成脂分化套装成分 | 货号 | 体积 |
3T3-L1 cells Adipogenic Differentiation 3T3-L1-ADM | IMC-020-M | 180mL |
Fetal Bovine Serum( Superior-Quality ) 优级胎牛血清 | IMC-101-10 | 20mL |
Supplement For Mouse Embryonic Fibroblasts Cells Adipogenic Differentiation A 3T3-L1小鼠胚胎成纤维细胞成脂诱导分化添加物 A | IMC-020-A | 1mL |
| Oil Red O Solultion 油红 O | IMC-903 | 10mL |
| Gelatin明胶 | IMC-902 | 10mL |
质量控制
通过细菌、真菌、支原体、内毒素检测。
通过渗透压、pH检测。
通过产品性能检测
处理原则
1.严格的无菌环境。务必保证实验室整体和操作区域的清洁。
2.规范的操作方式。请按照产品说明书描述的方式操作,严格控制变量,做好对照实验。
3.各成分需按照保存条件妥善存放,并尽快使用。
4.若短期内无法用完整套培养基,应按试剂盒内各成分体积比例分批配制并分装保存。
产品稳定性及保存条件
1. 试剂盒内所有成分均需避光保存。
2.试剂盒内基础培养基需置于 4℃冰箱保存,保质期为 1 年;其他成分需置于-20℃保存,保质期为 2 年。
3.配制后的完全培养基,需放置 4℃保存,保质期为 1 个月;若能保证培养条件稳定,容器密封性能良好,避免冷热交替,则保质期可适当延长,但不得超过 45 天。
4.所有产品请于保质期内使用;过期的成分可能严重影响培养效果。
完全培养基的配制
所需材料
1.间充质干细胞成脂诱导分化试剂盒
2.清洁、无菌、质量稳定的一次性耗材(移液管、移液器吸头、离心管等)
3.洁净的封口膜
4.铝箔纸等避光材料
操作步骤
1.配制前至少 6h,将试剂盒中的优级胎牛血清(以下简称血清)放置于4℃冰箱内完全融化。
注意:融化后的血清中可能出现絮状物,其主要成分为析出的血纤蛋白,这不会影响产品使用效果。若不是对细胞培养体系的纯净度要求极高,我们不建议过滤或离心去除絮状物。
2.配制前至少 30min,将试剂盒中3T3-L1小鼠胚胎成纤维细胞成脂诱导分化添加物(以下简称添加物)放置于4℃冰箱内, 直至完全融化。
3.上下颠倒或轻弹试剂管以混匀试剂。
4.用 75%医用酒精仔细擦拭所有成分外包装。在超净台内打开包装。
5.将血清、添加物全部加入细胞基础培养基(以下简称基础培养基)中。
6.取少量基础培养基,洗涤各瓶、管,尽可能将所有成分全部加入基础培养基中。
7.拧紧基础培养基瓶盖,轻柔并充分摇匀。
8.用封口膜密封瓶口,用铝箔纸包裹瓶身,并标注名称、配制日期等信息。
特别提醒
1.若短期内无法用完全部培养基,我们建议分批配制;请按照试剂盒内各成分比例,配制所需量;但剩余的成分必须严格按照各自的保存条件妥善保存,并且不可多次冻融。
2.3T3-L1 (小鼠胚胎成纤维细胞) 成脂诱导分化试剂盒内的所有成分都严格控制无菌,一般情况下我们不建议再次除菌。若配制过程有污染风险,可将完全培养基过滤除菌。
3.配制完成的成脂诱导分化培养基,请分装为小份,避免整瓶培养基反复温浴和冷藏交替
诱导分化操作流程
所需材料
1.3T3-L1 (小鼠胚胎成纤维细胞) 成脂诱导分化试剂盒
2.0.1%明胶溶液
3.Phosphate-BufferedSaline(1×PBS)
操作步骤
注意
1)本操作规程以六孔板为例,请根据实际情况选用合适的培养容器;
2)为减少诱导过程细胞漂起、不贴壁,建议使用明胶包被培养容器;
3)诱导培养基在使用前均需预热至37℃。
1.加1mL 0.1%明胶到六孔板中,摇匀,使其能均匀覆盖各孔底面。
2.将铺有0.1%明胶的六孔板放置在超净台或CO₂培养箱至少30min。
3.30min后吸去明胶即可用于接种细胞,或等待六孔板晾干再接种。
4.将待诱导的3T3-L1小鼠胚胎成纤维细胞按照2×10⁴cells/cm²的细胞密度接种于六孔板中,每孔加入2mL普通完全培养基。
5.细胞置于37℃、5%CO₂、饱和湿度的CO₂培养箱中培养。
6.当细胞融合度达到70%时,小心地将孔内完全培养基吸走,向六孔板中加入2mL3T3-L1小鼠胚胎成纤维细胞成脂诱导分化培养基。
7.每隔3天换用新鲜的3T3-L1小鼠胚胎成纤维细胞成脂诱导分化培养基。
注意:换液过程,需待培养基回复室温,缓慢滴加。
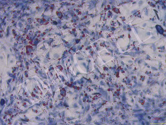
8.诱导2~3周后,视细胞的形态变化及生长情况,直到出现足量、大小适宜的脂滴,即可准备染色。
特别提醒
1.若短期内无法用完全部培养基,我们建议分批配制;请按照试剂盒内各成分比例,配制所需量;但剩余的成分必须严格按照各自的保存条件妥善保存,并且不可多次冻融。
2. 3T3-L1小鼠胚胎成纤维细胞成脂诱导分化试剂盒内的所有成分都严格控制无菌,一般情况下我们不建议再次除菌。若配制过程有污染风险,可将完全培养基过滤除菌。
3.配制完成的成脂诱导分化培养基,请分装为小份,避免整瓶培养基反复温浴和冷藏交替。
诱导分化操作流程
所需材料
1.3T3-L1小鼠胚胎成纤维细胞成脂诱导分化试剂盒
2. 0.1%明胶溶液
3. Phosphate-BufferedSaline(1×PBS)
操作步骤
注意:
1)本操作规程以六孔板为例,请根据实际情况选用合适的培养容器;
2)为减少诱导过程细胞漂起、不贴壁,建议使用明胶包被培养容器;
3)诱导培养基在使用前均需预热至37℃。
1.加 1mL 0.1%明胶到六孔板中,摇匀,使其能均匀覆盖各孔底面。
2.将铺有 0.1%明胶的六孔板放置在超净台或CO₂培养箱至少 30min。
3.30min 后吸去明胶即可用于接种细胞,或等待六孔板晾干再接种。
4.将待诱导的3T3-L1小鼠胚胎成纤维细胞按照 2×10⁴cells/cm²的细胞密度接种于六孔板中,每孔加入 2mL普通完全培养基(培养3T3-L1小鼠胚胎成纤维细胞的完全培养基)。
5.细胞置于 37℃、5%CO₂、饱和湿度的 CO₂培养箱中培养。
6. 当细胞融合度达到 70%时,小心地将孔内完全培养基吸走,向六孔板中加入 2mL 3T3-L1小鼠胚胎成纤维细胞成脂诱导分化培养基。
7.每隔 3 天换用新鲜的3T3-L1小鼠胚胎成纤维细胞成脂诱导分化培养基。
注意:换液过程,需待培养基回复室温,缓慢滴加。
8.诱导 2~3 周后,视细胞的形态变化及生长情况,直到出现足量、大小适宜的脂滴,即可准备染色。
油红O染色分析
所需材料
1. .Phosphate-BufferedSaline(1×PBS)
2.4%多聚甲醛溶液或 10%福尔马林溶液
3.油红O染色液
操作步骤
注意:
1)为防止脂滴脱落,所有操作尽可能轻缓;
1.成脂诱导分化结束后,吸去六孔板中的成脂诱导分化完全培养基,用1×PBS轻柔洗涤2~3 次。
2.每孔加入 2mL4%多聚甲醛溶液(或 10%福尔马林),室温固定 30min。
3.吸去固定液,用 1×PBS 轻柔洗涤 2~3 次,确保将固定液清洗彻底。
5.每孔加入 2mL 油红 O 染料工作液,室温染色30min。
6.吸去油红 O 染色液,用1×PBS轻柔洗涤 2~3 次,充分洗去染色液。
7.每孔加入 2mL 1×PBS,将培养板置于显微镜下观察成脂染色效果。
8.染色后的六孔板用封口膜封装后,置于4℃保存,但不要超过 1周。脂滴会相互融合,无法保持染色时的状态。
















