| 一、细胞基本属性 |
| 细胞名称 | CHC-X1人混合型肝癌细胞 |
| 种属来源 | 人 |
| 组织来源 | 肝脏 |
| 生长特性 | 贴壁生长 |
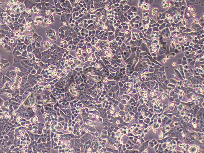
| 细胞形态 | 典型的上皮样形态,为不规则多边形,有些呈纺锤形、圆形和椭圆形。细胞核突出,可见多核巨细胞。 |
| 背景介绍 | CHC-X1人混合型肝癌细胞来源于31岁男性肝脏恶性肿瘤患者,无长期吸烟、饮酒史,无高血压、糖尿病、冠心病等慢性疾病,亦无乙肝、丙肝等传染病携带史。STR分析明确CHC-X1为新的人源混合型肝癌细胞系。CHC-X1为近3倍体核型与近6倍体核型的复杂核型。种群倍增时间为50.72小时。悬浮情况下CHC-X1可形成瘤球,在基质胶中可形成肿瘤类器官。接种至NXG小鼠后,CHC-X1能快速形成皮下移植瘤,成瘤率67%。 CHC-X1细胞对紫杉醇敏感,对奥沙利铂、吉西他滨、5-FU耐药。免疫组化染色显示CHC-X1为同时具有肝细胞分化和胆管细胞分化特征的双表型肿瘤细胞系。免疫组化染色显示,CK7、CK19、AFP、Arg-1、Alb和CEA在CHC-X1、移植瘤及原发肿瘤中均呈阳性表达。其中GPC-3呈现部分表达。Ki-67在三种样本中表达率约为60%,E-钙黏蛋白和波形蛋白均呈阳性表达,表明CHC-X1具有上皮间质转化特征。CA19-9在三种样本中均未表达。上述发现表明,CHC-X1同时表达肝细胞和胆管细胞特征的免疫组化标志物,在一定程度上证明了这三种样本类型间的同源性。 |
| 球体形成试验 | CHC-X1细胞在低贴壁条件和无血清培养基中可形成大量结构完整的肿瘤球体。 
|
| 器官培养 | 当将CHC-X1细胞接种至Matri凝胶时,可在10天内快速形成类肿瘤器官。 
|
| STR鉴定 | CHCX1的STR模式与Cellosaurus cell bank中记录的所有CLs均不同。同时,CHC-X1细胞的STR模式与原始肿瘤组织几乎完全一致,似然率为8.0754×1032。因此,CHC-X1是一种从原始肿瘤组织中获得的人源新型CL。 
|
| 核型分析 | CHC-X1细胞进行核型分析,发现其核型复杂,近83%的细胞为三倍体,近17%为六倍体,染色体数目和结构均存在异常,典型的核型为70、XXY der (4) rob(13;14)rob(15;21)。 
|
| 药物敏感性试验 | CHC-X1对奥沙利铂(IC50 = 9.907)µmol L、5-氟尿嘧啶(IC50 =123.9)µmol L和吉西他滨(IC50= 13.22)µmol L表现出耐药性,而对紫杉醇(IC50 = 0.03107)µmol L表现出敏感性。 
|
| NXG小鼠异种移植物肿瘤形成实验研究 | CHC-X1细胞成功形成皮下异种移植瘤的比例达到67%。对三只实验小鼠进行检查发现,其肝脏或肺部组织均未出现转移灶。 
|
| 细胞规格 | 1x106cells/T25或1mL冻存管 |
| 支原体检测 | 无 |
| 培养基 | 1640+10% FBS+PS |
| 培养条件 | 气相:95%空气+5%二氧化碳;温度:37℃ |
| 冻存条件 | 无血清冻存液,液氮储存 |
| 细胞货期 | 现货,1周左右 |
| 运输方式 | 复苏发货(T25瓶免运输费用)/ 冻存发货(需加干冰运输费用) 顺丰快递 |
| 供应限制 | 仅限于科学研究,绝不可作为动物或人类疾病的治疗产品使用 |
| 特别说明 | 以下细胞培养冻存处理仅供参考,具体操作步骤以随货产品说明书为主 |
| 二、细胞培养操作 |
| 收货方式 | T25瓶 | 冻存管 |
| 收货处理 | 观察好细胞状态后,75%酒精消毒瓶壁,将T25瓶置于37度培养箱放置2-4h,以便稳定细胞状态 | 收到细胞后,需立即转入液氮冻存或直接复苏 |
| 传代密度 | 细胞密度达80%-90%,即可进行传代培养 | 第二天换液并检查细胞密度 |
| 传代比例 | 首次传代建议1:2传代 1:2传代就是1个T25瓶传2个T25瓶或者2个6cm皿。不是1个T25瓶传2个10cm皿 | 一管细胞建议接种到10cm培养皿或者T25瓶 |
| 传代方法 | a、弃去培养上清,用不含钙、镁离子的PBS润洗细胞1-2次。 b、加1 mL消化液(0.25%Trypsin-0.53mM EDTA)于培养瓶中,使消化液浸润所有细胞,弃去消化液,将培养瓶置于37℃培养箱中消化1 min,然后在显微镜下观察细胞消化情况,若细胞大部分变圆并脱落,迅速拿回操作台,轻敲几下培养瓶后加少量培养基终止消化。 c、按6-8 mL/瓶补加培养基,轻轻打匀后装入无菌离心管中,1000 rpm离心4 min,弃去上清液,补加1-2 mL培养液后吹匀。 d、将细胞悬液按1:2比例分到新的含8 mL培养基的新皿中或者瓶中,置于培养箱中培养。 | 将含有1 mL细胞悬液的冻存管在 37℃水浴中迅速摇晃解冻,加4 mL培养基混合均匀。在1000 rpm条件下离心3 min,弃去上清液,加1-2 mL培养基后吹匀。然后将所有细胞悬液加入含适量培养基的培养瓶中培养过夜(或将细胞悬液加入10 cm皿中,加入约8 mL培养基,培养过夜)。第二天换液并检查细胞密度。 |
| 注意事项 | 1.运输用的培养基(灌液培养基)不能再用来培养细胞,请换用按照说明书细胞培养条件新配制的完全培养基来培养细胞。 2.因运输问题,部分细胞由于温度变化及剧烈碰撞死亡破碎形成碎片,是正常现象。 | 1.收货时若发现干冰化完,检查冻存管是否融化,若已融化需直接离心细胞接种观察,若未融化可以将细胞按正常步骤保存; 2.为保证细胞的高存活率,收到产品后,请立即解冻复苏细胞。 |
| 到货须知 | 1.收到细胞后,首先观察并拍照记录细胞瓶是否完好,培养液是否有漏液、浑浊等现象,干冰运输的细胞检查干冰是否完全挥发,细胞是否解冻,若有上述现象发生请及时和我们联系。 2.静置完成后,取出细胞培养瓶,镜检、拍照(当天以及第 2,3 天请拍照),记录细胞状态 (所拍照片将作为后续服务依据);建议细胞传代培养后,定期拍照、记录细胞生长状态。 3.由于运输的原因,个别敏感细胞会出现不稳定的情况,请及时和我们联系,告知细胞的具体情况,以便我们的技术人员跟踪回访直至问题解决。 4.仔细阅读细胞说明书,了解细胞相关信息,如细胞形态、所用培养基、血清比例、所需细胞因子等,确保细胞培养条件一致,若由于培养条件不一致而导致细胞出现问题,责任由客户自行承担。 |
| 备注:客户在细胞培养过程中,有任何技术问题可以拨打技术服务电话:400-080-3389 按 2,我们随时给予解答。 |
| 三、细胞冻存操作 |
| 冻存液配方 | 无血清冻存液,液氮储存 |
| 细胞密度 | 待细胞生长状态良好时,可进行细胞冻存。下面 T25 瓶为例 |
| 冻存方法 | a、收集细胞及细胞培养液,装入无菌离心管中,1000 rpm条件下离心4 min,弃去上清液,用PBS清洗一遍,弃尽PBS,加 1 mL血清重悬细胞,进行细胞计数。 b、根据细胞数量加入无血清细胞冻存液,使细胞密度5x106~1x107/mL,轻轻混匀,每支冻存管冻存1mL细胞悬液,注意冻存管做好标识。 c、将冻存管放入-80℃冰箱,24 h后转入液氮灌储存。记录冻存管位置以便下次拿取。 |
| 注意事项 | 冻存细胞转入液氮后及时复苏一管检查细胞冻存活性,若有异常,及时调整实验方案 |
| 四、售后服务 |
| 重发标准 | 1.细胞运输途中遭遇的各种问题,细胞丢失、瓶身破损、培养液严重漏液等,重发; 2.收到细胞未开封,如出现污染状况,重发; 3.收到细胞3天内,发现污染问题,经核实后,重发; 4.常温发货的细胞静置 2 小时后,干冰冻存发货的细胞复苏 2 天后,绝大多数细胞未存活,经核实后,重发; 5.常温发货的细胞静置 22 小时并且未开封或干冰冻存发货的细胞复苏 2 天后,出现污染,经核实后,重发; 6.细胞活性问题,请在收到产品 3 天内给我们提出真实的实验结果,用台盼蓝染色法鉴定细胞活力,经核实后,重发; 7.视具体情况而定。 |
| 不予重发 | 1.客户操作造成细胞污染,不重发; 2.客户严重操作失误致细胞状态不好,不重发; 3.非我们推荐细胞培养体系致的细胞状态不好,不重发; 4.细胞状态不好,未提供真实清晰的培养前 3 天的细胞状态照片,不重发; 5.细胞培养时经其它处理导致细胞出现问题的,不重发; 6.收到细胞发现问题与客服人员沟通的时间证明大于3天的,不重发; 7.视具体情况而定。 |