| 一、细胞基本属性 |
| 细胞名称 | HEPARG人肝实质细胞 |
| 种属来源 | 人 |
| 组织来源 | 肝脏 |
| 生长特性 | 贴壁生长 |
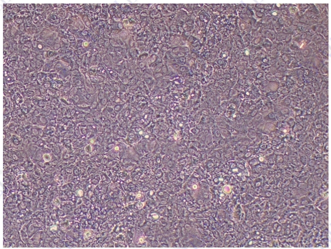
| 细胞形态 | 上皮细胞样 |
| STR鉴定 |  |
| 种属鉴定 |  |
| Results for each single nucleotide polymorphism (SNP) | CYP2D6 -*2 (2850C>T) CYP3A4 -*1B (392G>A) 
|
| HepaRG细胞组装和表征成3D球体 | 将HepaRG细胞接种于超低附着U型底96孔微孔板中,这些细胞在第2天自行组装成球体,图为第10天的瘤球。 
第14天HepaRG球体的He&E染色。 HepaRG球体显示出细胞类型的空间组织和分离,这种现象随着时间的推移而更加明显。 
HepaRG细胞通过钙粘蛋白、整合素和紧密连接蛋白的相互作用,形成极化的“上皮”,从而构建出类似功能性胆管的结构,这种结构与肝脏的自然构造极为相似。 
胆管形成
在使用CDFDA染色检查胆管形成前,将HepaRG细胞培养10天。CDFDA染色显示,类似胆管的结构仅在肝细胞样细胞群体中形成。 
|
| RT-PCR验证CYP2C9,CYP2B6,CYP3A4基因表达 | 为了评估HepaRG从祖细胞分化为成熟肝细胞过程中基因表达的变化,我们在HepaRG分化过程的不同时间点进行了基因表达分析。我们选择了细胞接种后第0天细胞阶段、细胞接种后第5天、细胞接种后第10天,细胞接种后第15天,这一阶段细胞已开始分化,每个选定基因的表达水平通过实时RT-PCR进行了验证,发现CYP2C9,CYP2B6,CYP3A4基因表达均上调。 


|
| 细胞代数 | 10代以内 |
| 细胞规格 | 1×106cells/T25培养瓶或者1mL冻存管包装 |
| 支原体检测 | 无 |
| 培养基 | HEPARG人肝细胞专用培养基 |
| 培养条件 | 气相:95%空气+5%二氧化碳;温度:37℃ |
| 冻存条件 | 无血清冻存液,液氮储存 |
| 细胞货期 | 现货,1周左右 |
| 运输方式 | 复苏发货(T25瓶免运输费用)/ 冻存发货(需加干冰运输费用) 顺丰快递 |
| 供应限制 | 仅限于科学研究,绝不可作为动物或人类疾病的治疗产品使用 |
| 特别说明 | 以下细胞培养冻存处理仅供参考,具体操作步骤以随货产品说明书为主 |
| 二、细胞培养操作 |
| 收货方式 | T25瓶 | 冻存管 |
| 收货处理 | 观察好细胞状态后,75%酒精消毒瓶壁,将T25瓶置于37度培养箱放置2-4h,以便稳定细胞状态 | 收到细胞后,需立即转入液氮冻存或直接复苏 |
| 传代密度 | 细胞密度达80%-90%,即可进行传代培养 | 第二天换液并检查细胞密度 |
| 传代比例 | 首次传代建议1:2传代 1:2传代就是1个T25瓶传2个T25瓶或者2个6cm皿。不是1个T25瓶传2个10cm皿 | 一管细胞建议接种到10cm培养皿或者T25瓶 |
| 传代方法 | a、弃去培养上清,用不含钙、镁离子的PBS润洗细胞1-2次。 b、加1 mL消化液(0.25%Trypsin-0.53mM EDTA)于培养瓶中,使消化液浸润所有细胞,弃去消化液,将培养瓶置于37℃培养箱中消化1-3 min(根据细胞消化程度而定),然后在显微镜下观察细胞消化情况,若细胞大部分变圆并脱落,迅速拿回操作台,轻敲几下培养瓶后加少量培养基终止消化。 c、按6-8 mL/瓶补加培养基,轻轻打匀后装入无菌离心管中,1000 rpm离心4 min,弃去上清液,补加1-2 mL培养液后吹匀。 d、将细胞悬液按1:2比例分到新的含8 mL培养基的新皿中或者瓶中,置于培养箱中培养。 | 将含有1 mL细胞悬液的冻存管在 37℃水浴中迅速摇晃解冻,加4 mL培养基混合均匀。在1000 rpm条件下离心3 min,弃去上清液,加1-2 mL培养基后吹匀。然后将所有细胞悬液加入含适量培养基的培养瓶中培养过夜(或将细胞悬液加入10 cm皿中,加入约8 mL培养基,培养过夜)。第二天换液并检查细胞密度。 |
| 注意事项 | 1.运输用的培养基(灌液培养基)不能再用来培养细胞,请换用按照说明书细胞培养条件新配制的完全培养基来培养细胞。 2.因运输问题,部分细胞由于温度变化及剧烈碰撞死亡破碎形成碎片,是正常现象。 | 1.收货时若发现干冰化完,检查冻存管是否融化,若已融化需直接离心细胞接种观察,若未融化可以将细胞按正常步骤保存; 2.为保证细胞的高存活率,收到产品后,请立即解冻复苏细胞。 |
| 到货须知 | 1.收到细胞后,首先观察并拍照记录细胞瓶是否完好,培养液是否有漏液、浑浊等现象,干冰运输的细胞检查干冰是否完全挥发,细胞是否解冻,若有上述现象发生请及时和我们联系。 2.静置完成后,取出细胞培养瓶,镜检、拍照(当天以及第 2,3 天请拍照),记录细胞状态 (所拍照片将作为后续服务依据);建议细胞传代培养后,定期拍照、记录细胞生长状态。 3.由于运输的原因,个别敏感细胞会出现不稳定的情况,请及时和我们联系,告知细胞的具体情况,以便我们的技术人员跟踪回访直至问题解决。 4.仔细阅读细胞说明书,了解细胞相关信息,如细胞形态、所用培养基、血清比例、所需细胞因子等,确保细胞培养条件一致,若由于培养条件不一致而导致细胞出现问题,责任由客户自行承担。 |
| 备注:客户在细胞培养过程中,有任何技术问题可以拨打技术服务电话:400-080-3389 按 2,我们随时给予解答。 |
| 三、细胞冻存操作 |
| 冻存液配方 | 无血清冻存液,液氮储存 |
| 细胞密度 | 待细胞生长状态良好时,可进行细胞冻存。下面 T25 瓶为例 |
| 冻存方法 | a、收集细胞及细胞培养液,装入无菌离心管中,1000 rpm条件下离心4 min,弃去上清液,用PBS清洗一遍,弃尽PBS,加 1 mL血清重悬细胞,进行细胞计数。 b、根据细胞数量加入无血清细胞冻存液,使细胞密度5x106~1x107/mL,轻轻混匀,每支冻存管冻存1mL细胞悬液,注意冻存管做好标识。 c、将冻存管放入-80℃冰箱,24 h后转入液氮灌储存。记录冻存管位置以便下次拿取。 |
| 注意事项 | 冻存细胞转入液氮后及时复苏一管检查细胞冻存活性,若有异常,及时调整实验方案 |
| 四、售后服务 |
| 重发标准 | 1.细胞运输途中遭遇的各种问题,细胞丢失、瓶身破损、培养液严重漏液等,重发; 2.收到细胞未开封,如出现污染状况,重发; 3.收到细胞3天内,发现污染问题,经核实后,重发; 4.常温发货的细胞静置 2 小时后,干冰冻存发货的细胞复苏 2 天后,绝大多数细胞未存活,经核实后,重发; 5.常温发货的细胞静置 22 小时并且未开封或干冰冻存发货的细胞复苏 2 天后,出现污染,经核实后,重发; 6.细胞活性问题,请在收到产品 3 天内给我们提出真实的实验结果,用台盼蓝染色法鉴定细胞活力,经核实后,重发; 7.视具体情况而定。 |
| 不予重发 | 1.客户操作造成细胞污染,不重发; 2.客户严重操作失误致细胞状态不好,不重发; 3.非我们推荐细胞培养体系致的细胞状态不好,不重发; 4.细胞状态不好,未提供真实清晰的培养前 3 天的细胞状态照片,不重发; 5.细胞培养时经其它处理导致细胞出现问题的,不重发; 6.收到细胞发现问题与客服人员沟通的时间证明大于3天的,不重发; 7.视具体情况而定。 |