逸漠生物构建可靠的细胞资源平台。涵盖细胞系、原代细胞、标记细胞、耐药细胞及培养相关产品
细胞资源平台
咨询热线:400-080-3389
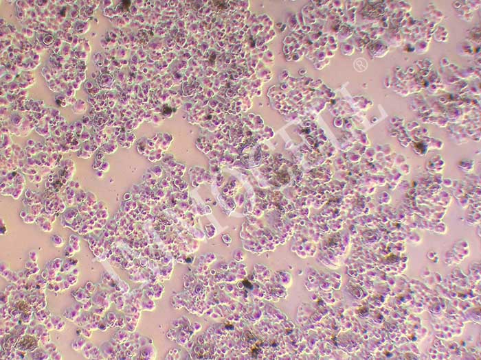
QGP-1人胰腺癌细胞
QGP-1人胰腺癌细胞
QGP-1人胰腺癌细胞
QGP-1人胰腺癌细胞
QGP-1人胰腺癌细胞
QGP-1人胰腺癌细胞
QGP-1人胰腺癌细胞

QGP-1人胰腺癌细胞

QGP-1人胰腺癌细胞

货号:IM-H570

规格:1×106cells/T25或1mL冻存管

形态:上皮细胞样,贴壁生长

培养基:RPMI-1640+10% FBS+PS

传代方法:1:2至1:3,每周 2-3次


价格:3000元

搭配培养体系
  一、细胞基本属性
细胞名称QGP-1人胰腺癌细胞
种属来源
组织来源胰腺组织
生长特性贴壁生长
细胞形态上皮细胞样
细胞代数10代以内
背景介绍该细胞来源于61岁男性的胰腺组织。母体肿瘤和培养的细胞系产生癌胚抗原(CEA),没有证据表明肿瘤细胞分泌激素。
生物安全等级1
细胞规格1×106cells/T25培养瓶或者1mL冻存管包装
支原体检测
培养基RPMI-1640+10% FBS+PS
培养条件气相:95%空气+5%二氧化碳;温度:37℃
冻存条件无血清冻存液,液氮储存
细胞货期2周左右
运输方式复苏发货(T25瓶免运输费用)/  冻存发货(需加干冰运输费用) 顺丰快递
供应限制仅限于科学研究,绝不可作为动物或人类疾病的治疗产品使用
特别说明以下细胞培养冻存处理仅供参考,具体操作步骤以随货产品说明书为主
  二、细胞培养操作
收货方式T25瓶冻存管
收货处理观察好细胞状态后,75%酒精消毒瓶壁,将T25瓶置于37度培养箱放置2-4h,以便稳定细胞状态收到细胞后,需立即转入液氮冻存或直接复苏
传代密度细胞密度达80%-90%,即可进行传代培养第二天换液并检查细胞密度
传代比例          首次传代建议1:2传代        
                  1:2传代就是1个T25瓶传2个T25瓶或者2个6cm皿。不是1个T25瓶传2个10cm皿
一管细胞建议接种到6cm培养皿或者T25瓶
传代方法

a、弃去培养上清,用不含钙、镁离子的PBS润洗细胞1-2次。          
b、加1 mL消化液(0.25%Trypsin-0.02%EDTA)于培养瓶中,使消化液浸润所有细胞,弃去消化液,将培养瓶置于37℃培养箱中消化1-3 min,然后在显微镜下观察细胞消化情况,若细胞大部分变圆并脱落,迅速拿回操作台,轻敲几下培养瓶后加少量培养基终止消化。    c、按6-8 mL/瓶补加培养基,轻轻打匀后装入无菌离心管中,1000 rpm离心4 min,弃去上清液,补加1-2 mL培养液后吹匀。          
d、将细胞悬液按1:2比例分到新的含8 mL培养基的新皿中或者瓶中,置于培养箱中培养。

将含有1 mL细胞悬液的冻存管在 37℃水浴中迅速摇晃解冻,加4 mL培养基混合均匀。在1000 rpm条件下离心3 min,弃去上清液,加1-2 mL培养基后吹匀。然后将所有细胞悬液加入含适量培养基的培养瓶中培养过夜(或将细胞悬液加入6 cm皿中,加入约4 mL培养基,培养过夜)。第二天换液并检查细胞密度。
注意事项

1.运输用的培养基(灌液培养基)不能再用来培养细胞,请换用按照说明书细胞培养条件新配制的完全培养基来培养细胞。 

2.因运输问题,部分细胞由于温度变化及剧烈碰撞死亡破碎形成碎片,是正常现象。

1.收货时若发现干冰化完,检查冻存管是否融化,若已融化需直接离心细胞接种观察,若未融化可以将细胞按正常步骤保存;        
2.为保证细胞的高存活率,收到产品后,请立即解冻复苏细胞。
到货须知

1.收到细胞后,首先观察并拍照记录细胞瓶是否完好,培养液是否有漏液、浑浊等现象,干冰运输的细胞检查干冰是否完全挥发,细胞是否解冻,若有上述现象发生请及时和我们联系。          
2.静置完成后,取出细胞培养瓶,镜检、拍照(当天以及第 2,3 天请拍照),记录细胞状态 (所拍照片将作为后续服务依据);建议细胞传代培养后,定期拍照、记录细胞生长状态。

3.由于运输的原因,个别敏感细胞会出现不稳定的情况,请及时和我们联系,告知细胞的具体情况,以便我们的技术人员跟踪回访直至问题解决。          
4.仔细阅读细胞说明书,了解细胞相关信息,如细胞形态、所用培养基、血清比例、所需细胞因子等,确保细胞培养条件一致,若由于培养条件不一致而导致细胞出现问题,责任由客户自行承担。

备注:客户在细胞培养过程中,有任何技术问题可以拨打技术服务电话:400-080-3389 按 2,我们随时给予解答。
  三、细胞冻存操作
冻存液配方无血清冻存液,液氮储存
细胞密度待细胞生长状态良好时,可进行细胞冻存。下面 T25 瓶为例
冻存方法a、收集细胞及细胞培养液,装入无菌离心管中,1000 rpm条件下离心4 min,弃去上清液,用PBS清洗一遍,弃尽PBS,进行细胞计数。        
b、根据细胞数量加入无血清细胞冻存液,使细胞密度5x106~1x107/mL,轻轻混匀,每支冻存管冻存1mL细胞悬液,注意冻存管做好标识。        
c、将冻存管放入-80℃冰箱,24 h后转入液氮灌储存。记录冻存管位置以便下次拿取。
注意事项冻存细胞转入液氮后及时复苏一管检查细胞冻存活性,若有异常,及时调整实验方案
  四、售后服务
重发标准

1.细胞运输途中遭遇的各种问题,细胞丢失、瓶身破损、培养液严重漏液等,重发;

2.收到细胞未开封,如出现污染状况,重发;

3.收到细胞3天内,发现污染问题,经核实后,重发;

4.常温发货的细胞静置 2 小时后,干冰冻存发货的细胞复苏 2 天后,绝大多数细胞未存活,经核实后,重发;

5.常温发货的细胞静置 22 小时并且未开封或干冰冻存发货的细胞复苏 2 天后,出现污染,经核实后,重发;

6.细胞活性问题,请在收到产品 3 天内给我们提出真实的实验结果,用台盼蓝染色法鉴定细胞活力,经核实后,重发;

7.视具体情况而定。

不予重发

1.客户操作造成细胞污染,不重发;

2.客户严重操作失误致细胞状态不好,不重发;

3.非我们推荐细胞培养体系致的细胞状态不好,不重发;

4.细胞状态不好,未提供真实清晰的培养前 3 天的细胞状态照片,不重发;

5.细胞培养时经其它处理导致细胞出现问题的,不重发;

6.收到细胞发现问题与客服人员沟通的时间证明大于3天的,不重发;

7.视具体情况而定。

相关文献

细胞培养相关问题

细胞培养指南

细胞培养操作视频

人源细胞系相关热卖产品