
神经干细胞( NSC ) 是具有自我更新能力的多能细胞,在胚胎发育过程中,它们首先产生放射状胶质祖细胞,这些祖细胞会生成所有动物神经系统的神经元和神经胶质细胞。...
阅读详情
星形胶质细胞(astrocyte)简称星形细胞、星状细胞,统称星形胶质(astroglia),是存在于脑和脊髓中呈星状的一种神经胶质细胞(glia)。...
阅读详情
神经元细胞定义:神经元细胞指有突起的细胞,它由细胞体和细胞突起构成,神经元细胞(neuron),是神经系统最基本的结构和功能单位,胞体的结构与一般细胞相似,有核仁、细胞膜、细胞质和细胞核,其形态各异,常见的形态为星形/锥体形/梨形和圆球形状...
阅读详情
口腔上皮细胞定义:口腔上皮细胞是口腔黏膜的一部分,是复层鳞状上皮细胞构成的,人的口腔上皮细胞是扁平,多边形的,形状不是很规则,与牙龈上皮在游离龈的边缘转向内侧,覆盖龈沟内壁,形成龈沟上皮,口腔上皮细胞主要由细胞核与细胞质构成,表面有细胞膜,一般彼此相联成膜片状,被覆在机体体表,由内、中、外三个胚层分化形成,但主要来自外胚层和内胚层...
阅读详情
鳞状上皮细胞是什么:鳞状上皮细胞是一种多层上皮细胞,一般有10余层,细胞形态多呈扁平鳞形,边界清晰,主要覆盖于皮肤、口腔、咽、食管、阴道的全部及子宫颈外口等体表与外界相通的腔道部位,从底层至表面分为基底层、中层和表层3部分,鳞状上皮细胞对人体组织与器官起到保护、替代、监测作用...
阅读详情
上皮细胞是什么:上皮细胞是指位于皮肤或腔道表层的细胞,它的形状有扁平状,柱状等,皮肤外层的上皮细胞普遍的角质化,有保护和吸收的作用,腔道中的上皮细胞多分化,有分泌、排泄和吸收等功能,上皮组织分为被覆上皮、腺上皮、感觉上皮、生殖上皮、肌上皮等,而通常所说的上皮就是指被覆上皮,按细胞层数可分为单层和复层两类...
阅读详情
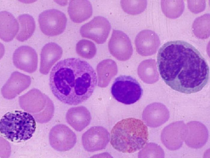
淋巴细胞是什么:淋巴细胞(lymphocyte)是白细胞的一种,由淋巴器官产生,机体免疫应答功能的重要细胞成分,淋巴细胞根据细胞膜表面标记和功能的不同,一般可将淋巴细胞分成 T淋巴细胞、B淋巴细胞、杀伤细胞(K细胞)和天然杀伤细胞(NK细胞)四类,淋巴细胞百分数(LYMPH%):0.20~0.40(20%~40%),淋巴细胞绝对值(LYMPH#):0.8~3.5×10*9/L...
阅读详情
原代细胞是什么:原代细胞是指从机体的组织(如人组织、小鼠组织大鼠组织和兔组织等)经蛋自酶或其它的方法获得单个细胞并在体外进行模拟机体培养的细胞,一般认为,培养的原代的第1代细胞和传代到第10代以内的细胞统称为原代细胞培养,除了部分终末分化的细胞,一般的细胞都能传代6-8代及以上,有些细胞基至更多,但是一般都建议采用3-4代以内的细胞...
阅读详情
Hela细胞是什么(海拉细胞系百科):Hela细胞系是源自一位名叫HenriettaLacks美国黑人妇女海瑞塔‧拉克斯的宫颈癌细胞的细胞系,具有可以连续传代、细胞株不会衰老致死,并可以无限分裂下去、增殖异常迅速、感染性极强特点,在医学界Hela海拉细胞被广泛应用于肿瘤研究,生物实验或者细胞培养,已经成为医学研究中非常重要的工具...
阅读详情
cho细胞是什么:cho细胞是一种非分泌型细胞,来源于中国仓鼠卵巢的上皮细胞系,从一成年雌性仓鼠卵巢分离获得,又称为中国仓鼠卵巢细胞,cho细胞种类有CHO-K1、CHO-S、CHO-DXB11、CHO-DG44、CHOK1SV GS-KO、CHOZN GS等,cho最初细胞为贴壁型细胞,经多次传代筛选后,也可悬浮生长...
阅读详情
vero细胞简介:vero细胞系是从非洲绿猴的肾脏上皮细胞中分离培养出来的,又称为非洲绿猴肾细胞,由日本千叶大学的Yasumura 和 Kawakita 于1962年3月27日扩增出来,是世界卫生组织和我国生物制品规程认可的疫苗生产细胞系...
阅读详情